Kensington Natural Smiles

Celebrating 74 Years

Welcome to Kensington Natural Smiles, where we believe that a healthy body begins with a healthy mouth. We are committed to providing you with the highest level of dental care in a relaxed and comfortable environment. We will give you our undivided attention and always treat you with the compassion that you deserve.

A Welcoming and Comfortable Environment

What To Expect

Your first visit is your opportunity to get to know us, and our chance to get to know you. We will perform a comprehensive examination of your teeth, gums, head, and neck to look for any abnormalities or emerging issues. We will then sit down with you to discuss our findings and learn your goals and expectations for your smile.

Dental Treatment Plan

Our experienced and knowledgeable office staff will work with you to create a treatment plan to help you maximize your insurance coverage and ensure that your dental health never becomes a financial burden. If you have any questions at any time throughout your journey with us, we encourage you to ask. We look forward to becoming lifetime partners in your oral health.

Book a FREE Consultation Today!

An Experienced, Established Practice

General Dentistry

We offer comprehensive general dentistry services, including routine cleanings, oral examinations, custom mouth guards, scaling and root planing, root canal treatments, and extractions. Our team is dedicated to maintaining your oral health through personalized care.

Cosmetic Dentistry

We offer comprehensive cosmetic dentistry services, including porcelain veneers, teeth whitening, cosmetic bonding, gum contouring, and Invisalign. Our skilled team combines advanced technology and personalized care to enhance both the health and aesthetics of your smile.

Restorative Dentistry

We offer comprehensive restorative dental services, including composite fillings, crowns, bridges, implants, and dentures. These treatments aim to restore and enhance dental function and aesthetics while preventing future dental issues. Our team provides personalized care to meet each patient's unique needs.

Dental Implants

We offer dental implants to replace missing or failing teeth, providing stability, durability, and restored bite strength. We collaborate with an oral surgeon for comprehensive care and offer solutions such as single implants, implant-supported bridges, and dentures. Suitable for most adults, these implants help prevent bone loss and improve oral health.

Invisalign

 We offer Invisalign as a comfortable, nearly invisible alternative to traditional braces. The custom-crafted aligners are removable, allowing you to eat and maintain oral hygiene easily. The treatment includes 3-D digital modeling and transparent pricing. Schedule a free consultation to explore how Invisalign can fit your lifestyle.

Pediatric Dentistry

We offer comprehensive pediatric dentistry services, including regular check-ups, cleanings, fluoride treatments, and dental sealants. Our practice emphasizes creating a comfortable and positive experience for children, with a focus on preventive care to maintain healthy teeth and gums. 

Oral Surgery

Our dental practice offers comprehensive oral surgery services, including teeth extractions, and dental implants. Our skilled oral surgeons provide personalized care in a comfortable, state-of-the-art environment. Trust us for safe, effective solutions to improve your oral health and smile.

Teeth Whitening

We offer professional teeth whitening solutions to brighten your smile. Choose between our in-office ZOOM! treatment, which can lighten teeth by 3-4 shades in just one hour, or our customized at-home whitening kits for gradual results. Our expert team ensures safe and effective treatment tailored to your needs.

TMJ Treatment

We provide personalized care for TMJ disorders. We offer treatments ranging from self-care guidance and custom stabilization splints to BOTOX™ injections for muscle relief. Severe cases are evaluated for advanced interventions. Our goal is to reduce pain and restore normal jaw function in a comfortable, professional setting.

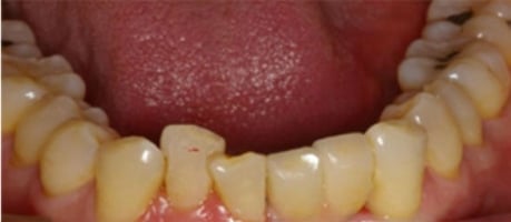
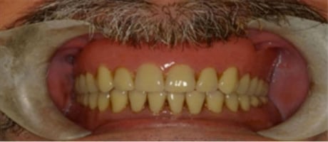
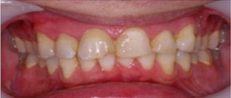
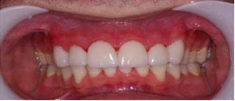
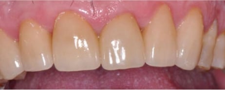
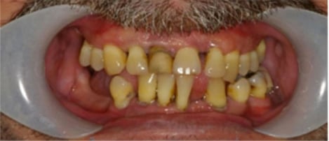
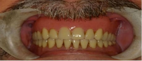
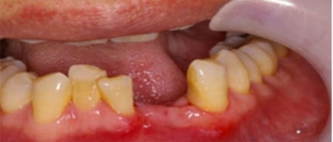
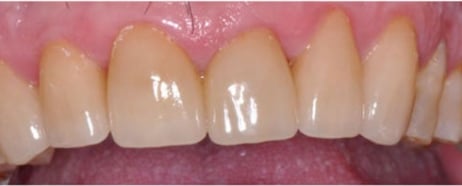
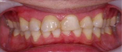
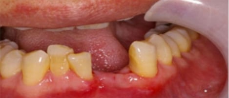
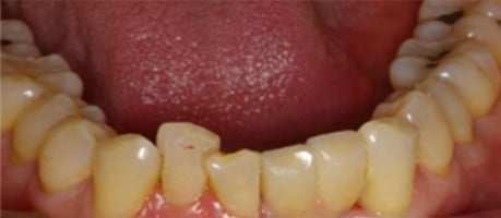
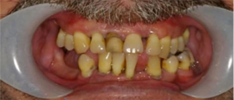
See The Before & After Results For Yourself! 

BEFORE

AFTER

BEFORE

AFTER

AFTER

BEFORE

BEFORE

AFTER

What Our Patients Are Saying

"Dr. Ho is so pleasant and patient! I have lots of anxiety and her nice calm presence is a huge plus!"


- Evan R.

"I am fortunate to have found such a good dentist! Dr. Ho and her team care for my well being."


- Georgia D.


"This is a well run, organized, and on-time office. I very much appreciate Dr. Ho's personal attention."


- Robin W.

Our Friendly and Compassionate Dentist

Susan Ho, DDS

A Maryland native, Kensington dentist Dr. Susan Ho earned both her undergraduate degree in molecular biology and genetics and her DDS at the University of Maryland. She then completed postdoctoral training at the Miami VA Medical Center, where she was honored to serve our military veterans.


Dr. Ho is a fellow of the Academy of General Dentistry and a member of the International Congress of Oral Implantologists. She is passionate about serving her community and participates in numerous community outreach programs. Patient and gentle, Dr. Ho always treats her patients with compassion and respect.

Kensington Natural Smiles is a leading dental practice with an office conveniently located in Kensington, MD. We can't wait to treat you like family in our office.

REQUEST A CONSULTATION

No Referrals Needed